Publications

2026

Elina Abaev-Schneiderman,, Linh Nguyen, Raz Shalev, Tzofit Elbaz Biton, Anand Chopra, Giritharan Jagadeesan, Daniel Sevilla, Nili Tickotsky Moskovitz, Liron Levin, Michal Feldman, Capucine Van Rechem and Dan Levy. 2026  ACTB methylation regulates SMARCA4 genomic occupancy to promote translation and reduce adhesion in colorectal cancer cells. Genome Research ,  36: 1-11

Ulu GT, Kublanovsky R, Shalev, Elbaz Biton T, Feldman M, Murr S, Brockmeyer J, Dorscht F, Weirich S, Levy D# and Jeltsch A# . 2026. E2F1 K117 methylation by SETD6 disrupts BRD4-E2F1 binding and modulates E2F1 chromatin binding and gene regulation in prostate cancer cells. Nucleic Acids Research,  Volume 54, Issue 2 # Equal Contribution and Co-corresponding authors. 

2025

Ridgeway NH, Chopra A, Lukinović , Feldman M, Charih F, Levy D, Green JR and Biggar KK. 2025. Machine learning-driven prediction of substrates for enzymes introducing or removing protein post-translational modifications. Communication Chemistry ,volume 8, 340.

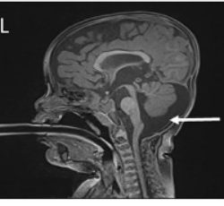
Matan M. Jean, Anan Yunis, Tzofit Elbaz-Biton, Vadim Dolgin, Ginat Narkis, Analia Michaelovsky, Marina Eskin-Schwartz, Alexandra A. Tsitrina, Nadav Agam, Tomer Poleg, Amit Safran, Ofek Freund, Noam Hadar, Dan Levy, Ilan Shelef, Khalil El Amour, Hagit Flusser & Ohad S. Birk (2025). A ciliopathy combining Joubert syndrome and Oro-Facial Digital syndrome caused by bi-allelic 5’-UTR loss-of-function CEP83 variant.  NPG Genomic Medicine Oct 10;10(1):66. 

Gizem T. Ulu , Sara Weirich, Jana Kehl, Thyagarajan T, Franziska Dorscht , Dan Levy and Albert Jeltsch (2025). Mechanisms of Substrate Recognition by the Multispecific
Protein Lysine Methyltransferase SETD6. 
LIFE 15, 1578 

Lital Estrella Weil, Michal Feldman, Jennifer Van Duine, Ji Qiu, Joshua LaBaer & Dan Levy. (2025). RAD18 methylation by the methyltransferase SETD6 attenuates DNA breaks. Scientific Reports. 27;15(1):31643. 

Tzofit Elbaz Biton, Michal Feldman , Tomer Davidy, Nili Tickotsky Moskovitz, Liron Levin, Daniel Sevilla, Colin R. Goding, Emily Bernstein and Dan Levy. (2025). SETD6 mediates selective interaction and genomic occupancy of BRD4 and MITF in melanoma cells. NAR Cancer. 7 , zcaf023. 

Anand Chopra, Michal Feldman and  Dan Levy. (2025) Orchestrating epigenetics: a comprehensive review of the
methyltransferase SETD6. Eeperimental & Molecular Medicine57(3):533-544.. Review. 

Cátia A Carvalho , Ulrike Bening Abu-Shach , Asha Raju, Zlata Vershinin , Dan Levy , Mike Boxem , Limor Broday. (2025) Sumo-mediated regulation of H3K4me3 reader SET-26 controls germline development in C. elegans. PLOS Biology, 6;23(1):e3002980

2024

Sara Weirich, Gizem T. Ulu, Thyagarajan Chandrasekaran, Jana Kehl, Jasmin Schmid, Franziska Dorscht, Margarita Kublanovsky, Dan Levy, Albert Jeltsch. (2024). Distinct specificities of the HEMK2 protein methyltransferase in methylation of glutamine and lysine residues.  Protein Science, 33 (2), e4897. 

2023

Margarita Kublanovskey, Gizem T. Ulu, Sara Weirich, Nurit Levy, Michal Feldman, Albert Jeltsch and Dan Levy.  (2023). Methylation of the transcription factor E2F1 by SETD6 regulates SETD6 expression via a positive feedback mechanism. JBC, 299 (10), 105236. 

Nitzan Maixner, Yulia Haim, Matthias Bluher, Vered Chalifa-Caspi, Isana Veksler-Lublinsky, Nataly Makarenkov, Uri Yoel, Nava Bashan, Idit F. Liberty, Ivan Kukeev, Oleg Dukhono, Dan Levy and Assaf Rudich,  (2023). Visceral Adipose tissue E2F1-miRNA206/210 pathway associates with Type 2 Diabetes in humans with Extreme Obesity. Cells, 11, 3046. 

2022

Lee Elisha, Tzofit Elbaz, Anand Chopra, Guy Shapira,  Mark T. Bedford, Christopher J. Fry, Noam Shomron, Kyle Biggar, Michal Feldman and Dan Levy. (2022). TWIST1 methylation by SETD6 selectively antagonizes LINC-PINT expression in glioma Nucleic Acids Research, gkac485. 

Lee Elisha, Elina Abaev-Schneiderman, Ofir Cohn, Guy Shapira, Noam Shomron Michal Feldman and Dan Levy. (2022). Structure-function conservation between the methyltransferases SETD3 and SETD6. Biochimie, 200, 27-35. 

2021

Vershinin Z, Feldman M, Werner T, Weil LE, Kublanovsky M, Abaev-Schneiderman E, Sklarz M, Lam EYN, Alasad K, Picaud S, Rotblat B, McAdam RA, Chalifa-Caspi V, Bantscheff M, Champman T, Lewis HD, Filippakopuolos P, Dawson MA, Grandi P, Prinjha RK and Levy D. (2021) BRD4 methylation by the methyltransferase SETD6 regulates selective transcription to control mRNA translation. Science Advances, 7, eabf5374. 
Zichri SB, Kolusheva S, Shames AI, Schneiderman EA, Poggio JL, Stein DE, Doubijensky E, Levy D, Orynbayeva Z, Jelinek R (2021) Mitochondria membrane transformations in colon and prostate cancer and their biological implications. Biochimica et Biophysica Acta- Biomembranes, 1863(1) 183471 

2020

Vershinin Z, Feldman M and Levy D (2020). PAK4 methylation by the methyltransferase SETD6 attenuates cell adhesion. Scientific Reports. 13;10(1):17068. 

2019

Levy D (2019). Lysine methylation signaling of non-histone proteins in the nucleus. Cellular and Molecular Life Sciences. Review, 76(15): 2873-2883. 
Feldman M, Vershinin Z, Goliand I, Elia N and Levy D (2019). The methyltransferase SETD6 regulates mitotic progression through PLK1 methylation. Proc. Natl. Acad. Sci. USA. 116(4):1235-1240. 
Abayev-Schneiderman E, Admoni-Elisha L, and Levy D (2019). SETD3 is a positive regulator of DNA-damage induced apoptosis. Cell Death & Disease, 10:74. 

2018

Weil L, Shmidov Y, Kublanovsky R,  Feldman M, Bitton R and Levy D (2018) Oligomerization and Automethylation of the Human Methyltransferase SETD6.  Journal of Molecular Biology, 430, 4359-4368 
Figure JMB

Marcel T,  Marilena L , Levy D  and Aurelio T (2018) Phenotypic characterization of SETD3 knockout Drosophila. PLOS One, Aug 1;13(8): e0201609 

Kublanovsky M,  Aharoni A#  and Levy D# (2018) Enhanced PKMTs-substrates recognition through distal non active-site interactions. Biochemical and Biophysical Research Communications, 501(4):1029-1033. # Equal Contribution and Co-corresponding authors. 

Feldman M and Levy D#.  (2018) SETD6 Peptide inhibition of the SETD6 methyltransferase catalytic activity.  Oncotarget, 9(4): 4875-4885. 

2017

Martin-Morales L, Feldman M, Vershinin Z, Garre P, Caldes T# and Levy D#.  (2017) SETD6 dominant negative mutation in Familial Colorectal Cancer Type X.  Human Molecular Genetics, 26(22):4481-4493 # Equal Contribution and Co-corresponding authors. 

2016

Cohn O, Feldman M, Weil L, Kublanovsky R and Levy D. (2016) Chromatin associated SETD3 negatively regulates VEGF expression. Scientific Reports 15(6):37115. 

Od-Cohen D, Duchin S, Feldman M, Zarivach R, Aharoni A# and Levy D#. (2016) Engineering of methylation state specific 3xMBT domain using ELISA screening. PLOS One, 11(4):e0154207. # Equal Contribution and Co-corresponding authors. 

Vershinin Z, Feldman M, Chen A and Levy D. (2016) PAK4 methylation by SETD6 promotes the activation of the Wnt/β-catenin pathway. Journal of Biological Chemistry, 291;6786-6795. 

Cohn O, Chen A, Feldman M and Levy D. (2016)  Proteomic analysis of SETD6 interacting proteins. Data in Brief, 6; 799-802. 

Chen A, Feldman M, Vershinin Z and Levy D. (2016) SETD6 is a negative regulator of oxidative stress response. BBA- Gene Regulatory Mechanisms, 1859:420-427. 

2015

Duchin S, Vershinin Z, Levy D# and Aharoni A#. (2015) A one step continuous kinetic assay for protein and DNA methyltransferase enzymatic activities. Epigenetics & Chromatin, 8:56. # Equal Contribution and Co-corresponding authors.

2012

Price JV, Tangsombatvisit S, Xu G, Yu J,  Levy D, Baechler EC, Gozani O, Varma M, Utz PJ and Liu CL.  (2012) On silico” peptide microarrays for high resolution mapping of antibody epitopes and diverse protein-protein interactions. Nature Medicine, 18: 1434-1440.

2011

Levy D#*, Liu CL*, Yang Z, Newman AM, Alizadeh AA, Utz PJ# and Gozani O#. (2011) A proteomic approach for the identification of novel lysine methyltransferase substrates. Epigenetics & Chromatin, Oct 24; 4(1):19 #Correspondence authors, *Equal contribution.

Chang Y, Levy D, Horton JR, Peng J, Zhang X, Gozani O and Cheng X. (2011) Structural basis of SETD6-mediated regulation of the NF-kB network via methyl-lysine signaling. Nucleic Acids Research, Aug; 39(15): 6380-9. 

Levy D, Kuo AJ, Chang Y, Schaefer U, Kitson U, Cheung P, Espejo A, Zee BM, Liu CL, Tangsombatvisit S, Tennen RI, Kuo AY, Tanjing S, Cheung C, Chua KF, Utz PJ, Shi X, Prinjha RK, Lee K, Garcia BA, Bedford MT, Tarakhovsky A, Cheng X and Gozani O. (2011) SETD6 lysine methylation of RelA couples GLP activity at chromatin to tonic repression of NF-kB signaling. Nature Immunology,  12(1):29-36. 

2010

Levy D and Gozani O. (2010) Decoding chromatin goes high tech. Cell, 17; 142(6):844-6. 

2008

Levy D, Reuven N and Shaul Y. (2008) A regulatory circuit controlling Itch mediated p73 degradation by Runx. Journal of Biological Chemistry, 283(41):27462-8. 

Levy D, Adamovich Y, Reuven N and Shaul Y. (2008) Yap1 phosphorylation by c-Abl is a critical step in selective activation of pro-apoptotic genes in response to DNA damage. Molecular Cell,  29(3):350-61. 

2007

Levy D, Adamovich Y, Reuven N and Shaul Y. (2007) The Yes-Associated Protein 1 (Yap1) Stabilizes p73 by Preventing Itch-Mediated Ubiquitination of p73. Cell Death and Differentiation, 14(4):743-51. 

Tair Ohana

Undergrad Student